Kompozit Lamine
Estetik diş hekimliğinin yaygın ve etkili uygulamalarından olan Kompozit Lamine, çoğunlukla doğal dişe hiç müdahale edilmeden yapıldığı için en koruyucu tedavi yöntemlerinden biridir. Dişlerdeki küçük bozuklukların düzeltilmesi için uygulanan tedaviden çok kısa sürede sonuç alınmaktadır.
Kompozit Lamine Uygulaması Hangi Durumlar İçin Uygundur?
- İşlem süresi kısa olan ve sıklıkla tek seansta tamamlanan tedavi, aşağıdaki durumlarda kullanılabilir:
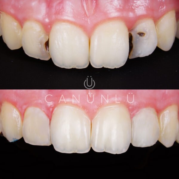
- Sigara, kahve, çay vb diş renginin kaybında rol oynayan ürünlerin tüketimine bağlı olarak ortaya çıkan lekelenmelerin giderilmesinde
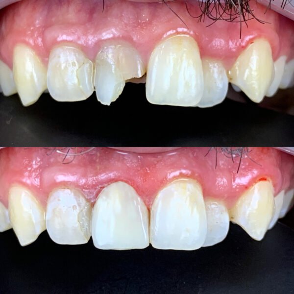
- Küçük kırıklardaki diş kaybının onarılmasında
- Diş yüzeyindeki çatlakların giderilmesinde
- Dişlerin diğer dişlere göre küçük olması durumunda uzatılarak yeniden boyutlandırılmasında
- Ayrık dişlerin (diastema) görünümünün düzeltilmesinde.,
Kompozit Lamine Nasıl Uygulanır?
Kompozit Lamine, ön hazırlık gerektirmeyen ve müdahale edilecek diş sayısına göre uygulama süresi değişmekle beraber, genellikle 1-1,5 saat içinde tamamlanan bir tedavidir. Çürük diş dolgusu yapılmayacaksa, anesteziye gerek duyulmadan gerçekleşir. İşlemler şu şekilde ilerler:
- Diş hekimi, hastanın diş rengine uygun tonda dolgu malzemesini seçer.
- Uygulama öncesi diş temizliği yapılır.
- Bakteriler, tartarlar ve plaklardan arındırılan diş yüzeyi, Kompozit Lamine materyalinin dişe tutunmasını kolaylaştırmak için özel bir yöntemle (Fosforik asit kullanımı ya da törpüleme yöntemi) pürüzlü hale getirilir.
- Kompozit Lamine işleminin gerçekleşmesi için diş yardımcı bir jel tabakayla kaplanır.
- Diş rengine göre seçilen kremsi kompozit rezin, bir fırça yardımıyla diş yüzeyine uygulanır.
- Materyali sertleştirmek için UV ışığı kullanılır.
- Sertleşen Kompozit Lamine materyali, daha sonra diş hekimi tarafından diş formunda şekillendirilir.
- Son olarak cila uygulaması yapılır ve dişlerin planlanan estetik görünümü sağlanır.
Kompozit Lamine Uygulamasının Avantajları Nelerdir?
Kompozit Lamine uygulamasının en önemli avantajları şunlardır:
- Doğal dişe neredeyse hiç müdahale gerektirmez, koruyucu tedavi yöntemlerinden biridir.
- Tedavi sonucunda elde edilen sonuç doğal görünüme çok yakındır.
- Pek çok küçük çaplı diş sorununun tedavisinde başarı elde edilen bir yöntemdir.
- İşlem süresi çok kısadır, özellikle zamanı kısıtlı hastalar için ideal bir tedavi yöntemidir.
- Diğer diş kaplamalarına göre daha az maliyetlidir bir işlemdir.
- Estetik kompozit dolgular hem ön hem arka dişlere uygulanabilir.
- Sert cisimlerle teması halinde meydana gelecek olası zararlar tamir edilebilir, porselen lamineler gibi yenilenme gerektirmez.
Kompozit Lamine Uygulamasının Dezavantajları Nelerdir?
- Lekelenmeye karşı dirençli değildir.
- Diğer kaplamalara göre daha toplam ömrü daha azdır.








